La stomatite aftosa ricorrente (SAR) è una condizione infiammatoria comune che affligge la mucosa orale, manifestandosi con la comparsa periodica di ulcere dolorose. Questa patologia, sebbene non completamente compresa nelle sue origini, rappresenta una fonte significativa di disagio per una vasta porzione della popolazione, interessando circa il 20% degli adulti e una percentuale ancora maggiore di bambini nel corso della loro vita. La sua natura ricorrente e la sintomatologia spesso debilitante rendono fondamentale una comprensione approfondita delle sue cause, delle diverse presentazioni cliniche e delle strategie terapeutiche più efficaci.

Comprendere la Stomatite: Un Panorama Generale
Prima di addentrarci nelle specificità della stomatite aftosa ricorrente, è utile definire il termine "stomatite" in senso più ampio. La stomatite è un termine generico che descrive qualsiasi condizione infiammatoria della membrana mucosa della bocca. Questa infiammazione può manifestarsi con una varietà di lesioni, tra cui ulcere, piaghe, arrossamenti, gonfiore e vescicole. A seconda della causa scatenante e della localizzazione, la stomatite può interessare diverse aree del cavo orale, come le gengive, la lingua, la parte interna delle labbra e delle guance, e persino la gola.
La stomatite viene comunemente classificata in due categorie principali: primaria e secondaria. La stomatite primaria, spesso associata a infezioni virali come quella da Herpes simplex di tipo 1 (gengivostomatite erpetica), è più frequente nei bambini e si caratterizza per la formazione di vescicole che evolvono in ulcere. La stomatite secondaria, invece, può derivare dalla riattivazione di virus, da infezioni batteriche o fungine, o essere il risultato di disturbi sottostanti o reazioni a farmaci e agenti chimici.
Stomatite Aftosa Ricorrente: L'Eziologia Ancora da Svelare
Nonostante decenni di ricerca, l'eziologia precisa della stomatite aftosa ricorrente rimane in gran parte sconosciuta. Tuttavia, studi indicano una forte componente ereditaria, suggerendo una predisposizione genetica alla condizione. Il danno tissutale sembra essere mediato principalmente dalle cellule T, con un ruolo significativo svolto da citochine infiammatorie come l'Interleuchina-2 (IL-2), l'Interleuchina-10 (IL-10) e, in particolare, il Tumor Necrosis Factor-alfa (TNF-alfa).
Diversi fattori sono stati identificati come potenziali trigger o esacerbanti della SAR:
- Trauma orale: Microlesioni o traumi alla mucosa orale, come quelli causati da spazzolamento aggressivo, morsi accidentali, o protesi dentarie mal adattate, possono innescare la formazione di afte in individui predisposti.
- Stress: Sia lo stress fisico che quello emotivo sono stati frequentemente associati a un aumento della frequenza e della gravità delle recidive aftose. Si ipotizza che lo stress possa modulare la risposta immunitaria, rendendo l'individuo più suscettibile alla formazione delle ulcere.
- Fattori alimentari: Sebbene non vi siano prove conclusive che colleghino direttamente le allergie alimentari come causa scatenante della SAR, alcuni alimenti sono stati segnalati dai pazienti come potenziali esacerbanti dei sintomi. Tra questi, il cioccolato, le arachidi e le uova sono citati con una certa frequenza. È possibile che questi alimenti agiscano più come fattori scatenanti in soggetti già predisposti piuttosto che come cause primarie.
- Carenze nutrizionali: La carenza di alcuni nutrienti essenziali, come ferro, zinco, acido folico e vitamine del gruppo B (in particolare B12), è stata associata a un aumento del rischio di sviluppare afte ricorrenti. Questi nutrienti svolgono ruoli cruciali nel mantenimento della salute della mucosa orale e nella funzione immunitaria.
- Alterazioni ormonali: Alcune donne riportano un aumento della frequenza delle afte in concomitanza con il ciclo mestruale, suggerendo un possibile legame con le fluttuazioni ormonali.

La Sintomatologia della Stomatite Aftosa Ricorrente: Diverse Manifestazioni
La SAR solitamente fa la sua comparsa durante l'infanzia o la prima età adulta, con la maggior parte dei pazienti che manifesta i primi sintomi prima dei 30 anni. Con l'avanzare dell'età, la frequenza e la gravità delle recidive tendono a diminuire. La sintomatologia può variare notevolmente da individuo a individuo, spaziando da poche ulcere all'anno a una condizione quasi continua, dove nuove lesioni compaiono non appena quelle precedenti guariscono.
Un prodromo di dolore o bruciore, che precede la comparsa delle ulcere di 1-2 giorni, è un sintomo comune. A differenza dell'herpes simplex, la SAR non è solitamente preceduta dalla formazione di vescicole o bolle. Il dolore associato alle afte è spesso descritto come intenso e sproporzionato rispetto alle dimensioni della lesione, e può persistere per 4-7 giorni.
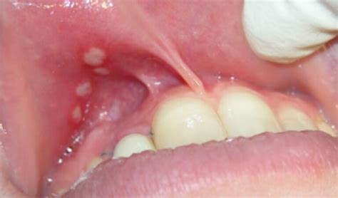
Le ulcere aftose sono lesioni ben definite, superficiali, di forma ovoidale o rotonda. Presentano un centro necrotico ricoperto da una pseudomembrana di colore giallo-grigiastro, circondato da un alone rosso e da margini leggermente in rilievo e arrossati.
Le principali tipologie di afte in bocca, basate sulla classificazione clinica, sono:
- Ulcere aftose minori: Rappresentano circa l'85% di tutti i casi di SAR. Sono lesioni di dimensioni inferiori a 8 mm (tipicamente 2-3 mm) che compaiono sul pavimento della bocca, sulla superficie laterale e ventrale della lingua, sulla mucosa buccale e faringea. Queste ulcere guariscono in genere entro 10 giorni senza lasciare cicatrici.
- Ulcere aftose maggiori (Malattia di Sutton, Periadenite mucosa necrotica ricorrente): Costituiscono circa il 10% dei casi. Queste ulcere tendono ad apparire dopo la pubertà, con un prodromo più marcato. Sono più profonde, di dimensioni maggiori (> 1 cm) e richiedono un periodo di guarigione più lungo, che può estendersi per settimane o mesi. Le ulcere aftose maggiori possono localizzarsi sulle labbra, sul palato molle e in gola, e sono talvolta associate a sintomi sistemici come febbre, disfagia (difficoltà a deglutire), malessere generale e cicatrici permanenti.
- Ulcere aftose erpetiformi: Sebbene il nome possa suggerire una correlazione, queste lesioni non sono causate dal virus dell'herpes. Rappresentano circa il 5% dei casi e si presentano come raggruppamenti multipli (fino a 100) di piccole ulcere (1-3 mm) su una base eritematosa. Queste piccole ulcere tendono a confluire, formando lesioni più ampie che possono durare fino a 2 settimane. Questa forma è più comune nelle donne e tende a manifestarsi in età più avanzata rispetto alle altre tipologie di SAR.
Semplicemente Salute - Video Disturbi - Afta
Diagnosi: Un Processo Clinico di Esclusione
La diagnosi di stomatite aftosa ricorrente è primariamente clinica e si basa sull'aspetto caratteristico delle lesioni, sulla loro ricorrenza e sull'esclusione di altre patologie con manifestazioni simili. Non esistono test istologici o di laboratorio specifici per confermare la SAR.
Durante la valutazione clinica, il medico o il dentista esaminerà attentamente le lesioni e raccoglierà un'anamnesi dettagliata riguardo alla storia delle recidive, ai sintomi associati e ai potenziali fattori scatenanti. È fondamentale distinguere la SAR da altre condizioni che possono presentare ulcere orali simili:
- Herpes simplex orale primitivo: A differenza della SAR, l'herpes simplex primitivo colpisce tipicamente bambini più piccoli, coinvolge sempre le gengive e può manifestarsi su mucose cheratinizzate come il palato duro e le gengive. È spesso associato a sintomi sistemici quali febbre e malessere. Le lesioni erpetiche recidivanti tendono ad essere monolaterali. In caso di dubbio, può essere eseguita una coltura virale per confermare la presenza dell'herpes simplex.
- Altre patologie sistemiche: Episodi ricorrenti di ulcere orali, specialmente se accompagnati da altri sintomi, possono essere indicativi di condizioni sistemiche come la malattia di Behçet, le malattie infiammatorie intestinali (es. morbo di Crohn, colite ulcerosa), la celiachia, l'infezione da HIV, la sindrome PFAPA (febbre periodica con stomatite aftosa, faringite e adenite) o deficit nutrizionali significativi. La presenza di segni e sintomi sistemici, come febbre, perdita di peso, infiammazione oculare o cutanea, è cruciale per indirizzare la diagnosi verso queste patologie.
- Deficit nutrizionali: Ulcere orali ricorrenti, sebbene meno frequentemente, possono essere un segno di carenze severe di zinco, ferro o vitamine del gruppo B. Test sierologici specifici possono aiutare a identificare tali deficit.
- Reazioni a farmaci o sostanze chimiche: L'assunzione di determinati farmaci o l'esposizione a sostanze chimiche (inclusi alcuni ingredienti di prodotti per l'igiene orale o alimenti) può scatenare reazioni che mimano la SAR. In questi casi, la correlazione temporale tra l'esposizione e l'insorgenza delle lesioni è un elemento chiave per la diagnosi. L'identificazione di reazioni a cibi o prodotti dentari può richiedere un approccio di eliminazione sequenziale.

Trattamento della Stomatite Aftosa Ricorrente: Gestire i Sintomi e Prevenire le Recidive
Il trattamento della stomatite aftosa ricorrente mira principalmente ad alleviare il dolore, accelerare la guarigione delle lesioni e ridurre la frequenza e la gravità delle recidive. Poiché l'eziologia non è completamente chiara, la terapia è in gran parte sintomatica e di supporto.
Le strategie terapeutiche possono essere suddivise in diverse categorie:
Terapie Topiche
Questi trattamenti vengono applicati direttamente sulle lesioni per fornire sollievo e favorire la guarigione.
- Clorexidina: Sciacqui con soluzioni di clorexidina gluconato (un antisettico) possono aiutare a ridurre la carica batterica orale e prevenire infezioni secondarie delle ulcere.
- Corticosteroidi topici: Rappresentano una delle pietre miliari del trattamento, specialmente se utilizzati precocemente, al momento del prodromo. Possono essere somministrati sotto forma di risciacqui (es. desametasone 0,5 mg/5 mL, 3 volte/die, da espettorare) o come paste protettive da applicare direttamente sulle lesioni (es. clobetasolo 0,05% o fluocinonide 0,05% in pasta protettiva di carbossimetilcellulosa, 3 volte/die). I corticosteroidi topici agiscono riducendo l'infiammazione e il dolore. È importante monitorare i pazienti per la possibile insorgenza di candidosi orale, un'infezione fungina che può essere favorita dall'uso prolungato di corticosteroidi.
- Anestetici topici: Farmaci come la benzocaina, applicati localmente, possono fornire un sollievo temporaneo dal dolore. È fondamentale utilizzarli seguendo attentamente le istruzioni per evitare potenziali tossicità.
- Agenti protettivi della superficie: Farmaci come il sucralfato, applicati topicamente, possono formare una barriera protettiva sulla superficie delle ulcere, alleviando il disagio e facilitando la guarigione. Questi agenti sono utili per il controllo sintomatico ma non hanno un effetto terapeutico diretto sulla risoluzione dell'ulcera.
Terapie Sistemiche
Nei casi di SAR persistente, grave o refrattaria ai trattamenti topici, possono essere necessarie terapie sistemiche.
- Corticosteroidi orali: In situazioni di particolare gravità, il prednisone (es. 40 mg per via orale 1 volta/die) può essere prescritto per cicli brevi (fino a 5 giorni) per controllare l'infiammazione sistemica e le lesioni più estese.
- Terapie immunosoppressive: Per le forme più severe e croniche di SAR, che non rispondono ai corticosteroidi, possono essere considerate terapie immunosoppressive come l'azatioprina.
- Altri farmaci: In alcuni casi, possono essere prescritti pentossifillina o talidomide, farmaci con diverse indicazioni ma che hanno mostrato efficacia in specifici sottotipi di SAR.
Terapie Intralesionali
Iniezioni locali di corticosteroidi (es. betametasone, desametasone, triamcinolone) direttamente all'interno delle ulcere più grandi e dolorose possono fornire un rapido sollievo dal dolore e ridurre l'infiammazione locale.
Rimedi Naturali e Accorgimenti Quotidiani
Oltre ai trattamenti farmacologici, alcuni accorgimenti e rimedi naturali possono contribuire a gestire i sintomi e favorire il benessere orale:
- Igiene orale scrupolosa: Mantenere una buona igiene orale è fondamentale per prevenire infezioni secondarie e promuovere la guarigione. Ciò include il lavaggio dei denti almeno due volte al giorno, l'uso del filo interdentale e, se consigliato, l'uso di un collutorio antisettico.
- Idratazione: Mantenere un adeguato apporto di liquidi aiuta a prevenire la disidratazione del cavo orale e può alleviare la sensazione di bruciore.
- Dieta equilibrata: Una dieta ricca di vitamine e minerali, in particolare ferro, zinco, acido folico e vitamine del gruppo B, supporta il sistema immunitario e la salute della mucosa orale.
- Evitare irritanti: È consigliabile evitare cibi e bevande che possono irritare le ulcere, come alimenti troppo acidi, speziati, salati o piccanti. Anche l'eccessivo consumo di aceto, teina, caffeina o bevande troppo calde dovrebbe essere limitato.
- Rimedi naturali: Alcuni rimedi naturali, come estratti di liquirizia, olmo scivoloso, aloe vera o golden seal, sono stati tradizionalmente utilizzati per lenire il bruciore e favorire la guarigione delle afte. Tuttavia, la loro efficacia non è sempre supportata da rigorose evidenze scientifiche.

Prevenzione: Strategie per Ridurre le Recidive
Sebbene la prevenzione completa della stomatite aftosa ricorrente sia difficile data l'eziologia complessa, alcune misure possono contribuire a ridurre la frequenza e la gravità delle recidive:
- Gestione dello stress: Tecniche di rilassamento, esercizio fisico regolare e un adeguato riposo possono aiutare a gestire i livelli di stress, potenzialmente riducendo l'incidenza delle afte.
- Identificazione e evitamento dei trigger alimentari: Se si sospetta che specifici alimenti possano scatenare le afte, un diario alimentare e una dieta di eliminazione supervisionata da un professionista possono aiutare a identificarli.
- Integrazione nutrizionale: In caso di carenze nutrizionali accertate, l'integrazione mirata di ferro, zinco, acido folico o vitamine del gruppo B può essere benefica.
- Igiene orale corretta: Una tecnica di spazzolamento delicata ma efficace e l'uso di prodotti per l'igiene orale non irritanti possono prevenire traumi alla mucosa orale.
La stomatite aftosa ricorrente è una condizione che, sebbene spesso autolimitante, può avere un impatto significativo sulla qualità della vita dei pazienti. Una diagnosi accurata, basata sull'esclusione di altre patologie, e un piano di trattamento personalizzato, che combini terapie sintomatiche, gestione dei fattori scatenanti e, nei casi più severi, terapie sistemiche, sono fondamentali per offrire sollievo e migliorare il benessere orale. In tutti i casi, è sempre consigliabile consultare un medico o un dentista per una valutazione e una gestione appropriate.